About the Event

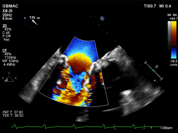
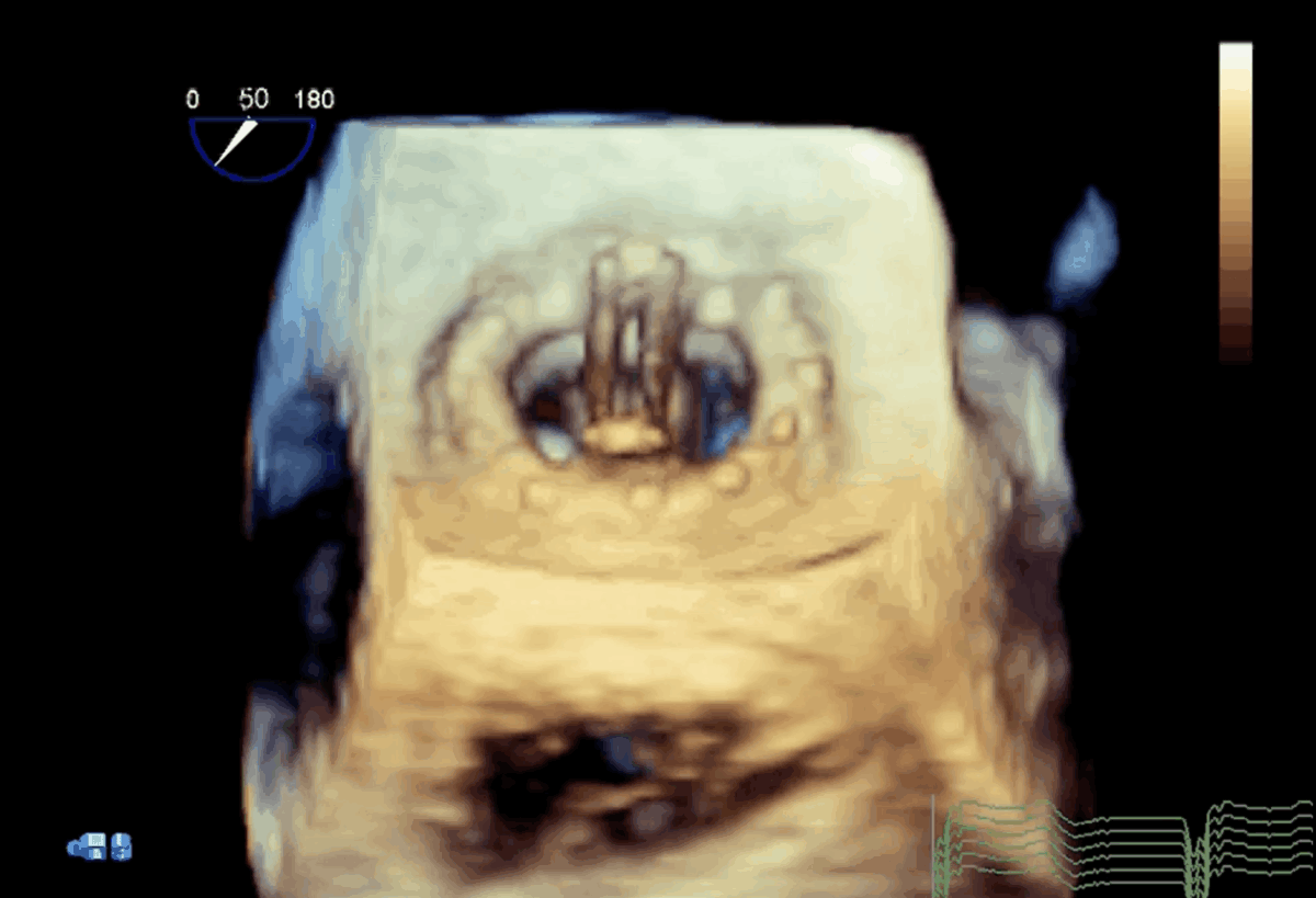
Alta Valve true view

State-of-the-Art Echocardiography™ 2026 is a whole new theme
with a bold vision of “Pushing New Limits: Innovation in 3D
Echocardiography.” The course will present a fresh focus on cutting edge
imaging technologies that are transforming patient care in
valvular heart disease and beyond.

HIGHLIGHTS INCLUDE:

  • The Full Patient Journey in Focus: From pre-procedural
    screening to post-operative follow-up, SOTA 2026 offers a
    case-based exploration of the entire imaging continuum —
    highlighting the pivotal role of 3D echo at every step.
  • Next-Gen Hands-On Learning: Experience reimagined,
    high-impact workshops featuring advanced tips and
    tricks in image acquisition, 3D manipulation, multiplanar
    reconstruction, and interpretation — designed for
    immediate clinical application.
  • Heart Valve Team in Action: Learn from the best
    world-renowned echocardiographers paired with leading
    interventional cardiologists to showcase real-world
    collaboration and decision-making in structural heart
    disease.
  • Interactive, Immersive, Inspiring: Engage in dynamic,
    real-time discussions with expert faculty and peers —
    SOTA 2026 is built for interaction, not just observation.

Who Should Attend

ASE’s State-of-the-Art Echocardiography program is designed for adult and pediatric cardiologists, cardiovascular surgeons, anesthesiologists, radiologists, nurses, sonographers, and fellows in training. Participants should have a practical knowledge of echocardiography.

Learning Objectives

At the conclusion of this conference, participants should be able to:

  • Apply advanced echocardiographic techniques to evaluate valvular heart disease and guide patient management.
  • Integrate multimodality imaging findings into clinical decision-making for structural heart interventions.
  • Assess the role of artificial intelligence (AI) in improving diagnostic accuracy and workflow efficiency in echocardiography.
  • Implement updated practice guidelines for ventricular and atrial function assessment, including 3D and strain imaging.
  • Evaluate evolving strategies for procedural imaging and post-intervention follow-up in valve repair and replacement.
  • Recognize imaging findings associated with cardiomyopathies and pericardial disease in the era of targeted therapy.
  • Demonstrate proficiency in case-based interpretation and team-based decision-making through heart team discussions.

CME Information

ASE is accredited by the Accreditation Council for Continuing Medical Education (ACCME) to provide accredited continuing education for physicians. 

ASE designates this live course for a maximum of 20.75 AMA PRA Category 1 Credits™.  

In addition to offering CME credits, this activity has been developed and registered with ACCME to provide MOC and MOCA 2.0 credits in alignment with AMA PRA Category 1 Credit™. 

Successful completion of this CME activity enables the participant to earn up to 20.75 MOC points in the American Board of Internal Medicine's (ABIM) Maintenance of Certification (MOC) program, the American Board of Pediatrics (ABP) MOC program, and/or the American Board of Anesthesiology's (ABA) Maintenance of Certification in Anesthesiology Program® or MOCA 2.0®. It is ASE's responsibility to submit participant completion information to ACCME for the purpose of granting ABIM and ABP MOC points and/or ABA MOCA 2.0®. 

Participants should claim only the credit commensurate with the extent of their participation in the activity. Physicians will earn MOC and/or MOCA 2.0 points equivalent to the amount of CME credits claimed for the activity. 

ARDMS, CCI, and Sonography Canada recognize ASE's certificates and have agreed to honor the CME credit hours toward their registry requirements for sonographers. 

Contact Us

Questions? Please submit an Education & Meetings Help Desk Ticket, or call ASE at 919-861-5574 (press 2 for meetings).

SOTA FAQs