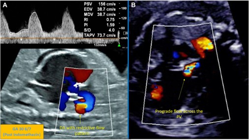
The latest issue of CASE is now available with intriguing reports, including “Indomethacin-Induced Ductus Arteriosus Closure and Aortopulmonary Collateral Formation in Fetal Ebstein Anomaly With Circular Shunt by Rao et al. These authors remarked, “Our report highlights the careful balance of benefit and risk when using transplacental indomethacin in fetuses with severe Ebstein
anomaly and circular shunt physiology. While therapy may improve hemodynamics, it also carries the potential for irreversible ductal closure with important implications for pulmonary vascular development and postnatal surgical planning. This case also demonstrates how serial fetal echocardiography can guide timely intervention and individualized management in a critically ill fetus.”
Continuing in the Fetal Echocardiography category, Ganieva et al. describe their findings of a large left ventricular aneurysm during routine anatomic fetal screening. In their Coronary Artery Disease case, Douglas et al. provide exceptional echo and CMR images of an elderly woman with an unsuspected large left ventricular pseudoaneurysm. Zunnu Rain et al. share helpful diagnostic criteria for categorizing patients into complete versus partial syndromes in their 46-year-old patient with a delayed complete diagnosis of partial Shone complex. In a Valvular Heart Disease case series, Akhtar et al. present their concept of mitral valve anatomy that suits the echocardiographic appearance of a valve with three (not two) major leaflet segments. Rounding out this issue is a Pericardial Pathologies report with informative findings on an elderly patient with dyspnea, including an image of a nearly 10 centimeter calcified pericardial mass that was removed. Read more about each of these cases while Dr. Sorrell makes a case for ultrasound enhancing agents in his editorial, “The Price of Gas.”
Check out the newest Sonographer Sound-Off (SSO) on the CASE Homepage, an interactive feature that provides an opportunity for sonographers to share tips and tricks they have learned in everyday practice. Congratulations to Rachel Wadsworth, BS, RDCS, Carson Homuth, BS, RDCS, FASE, and Sachiyo Igata, PhD, ACS, RDCS (AE, PE), RCCS, FASE from University of California San Francisco Medical Center, San Francisco, California, for supplying the images and text for this SSO.
To challenge your imaging and diagnosis skills, visit the CASE Homepage to see the latest Unlock the CASE image quiz, submitted by Alberto Cereda, MD, Matteo Rocchetti, MD, and Antonio Franchina, MD from ASST Santi Paolo e Carlo and the University of Milan, Milan, Italy.
SUBMIT your case report to us! Whether it will be your first time submitting a case or your 50th, we are here to make it a great experience. Email us with questions or submit your report today!
Publish date
November 18, 2025
Topic
- CASE
Related News
ASE News
ASE News
ASE News